Histology
On Wistar rats
Courtesy of Lab of Pathology Department on Medicine School of Ribeirão Preto – USP

Courtesy of Lab of Pathology Department on Medicine School of Ribeirão Preto – USP

N= 29 Wistar rats
Weight mean : 421g
Origin of animals : Biotério Central of Campus of Ribeirão Preto of São Paulo University
Maintenance : Experimental Pathology Lab of Pathology Department on Medicine School of Ribeirão Preto – USP
Animals keeping : polypropylen boxes
Animals food : basic diet of lab and water
Light conditions : natural light/dark cycles under controlled basic conditions
Experimentators : A.Tenenbaum,R.Mené,Kim

The mice were euthanized in CO2 chambers.
-hematoxilin-eosin
-Masson´s trichrome
-and red picro-sirius.

The mice of boxes 2 to 5 received 0,1 ml of Endopeels Original Main Product on the same muscle as control group.
Box 6 was constituted of 4 rats, and each one received 0,5 ml of Endopeels original main product injected on the subcutaneous layer.
All the animals were submitted to walking evaluation before and after their respective injections.


Comment : Nothing to declare after saline solution injection

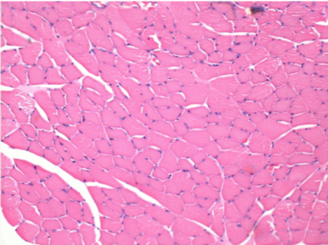
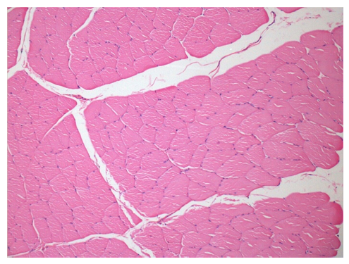
L:Pretibial-No treatment

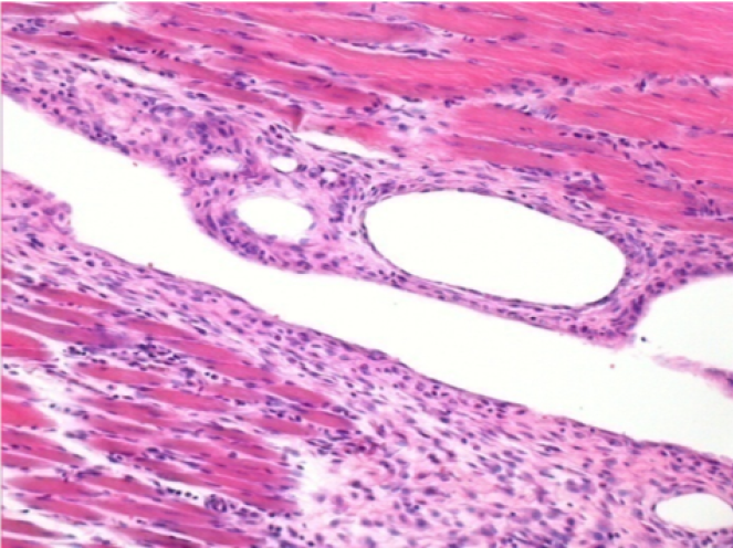
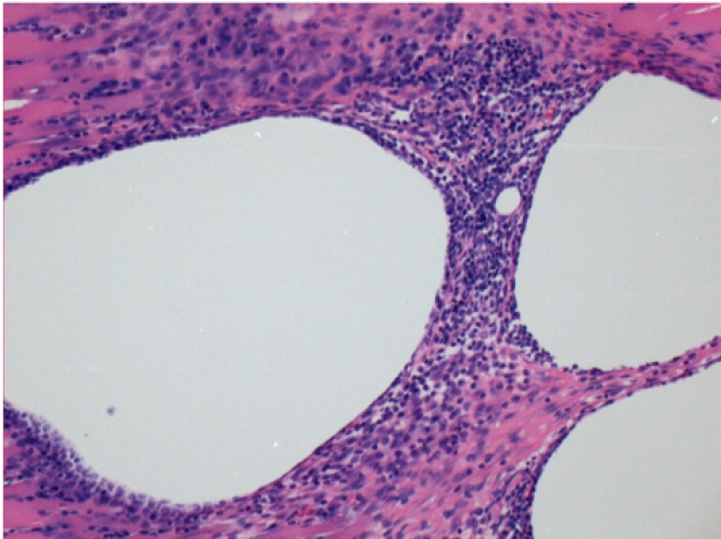
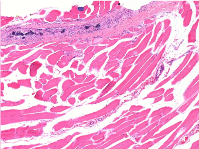
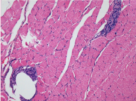
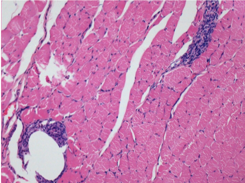
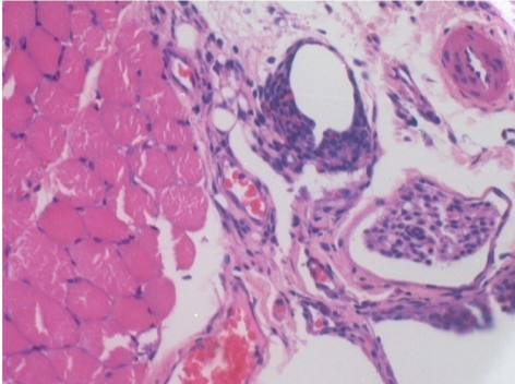
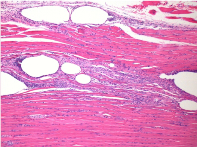
10 days after Endopeel Injection 0.1ml in the right pretibial muscle.
Here you may see the formation of the vacuoles which are surrounded by lymphocytes. Vacuoles are different from tissue necrosis . The presence of lymphocytes is related to the permeability of the cell membranes.




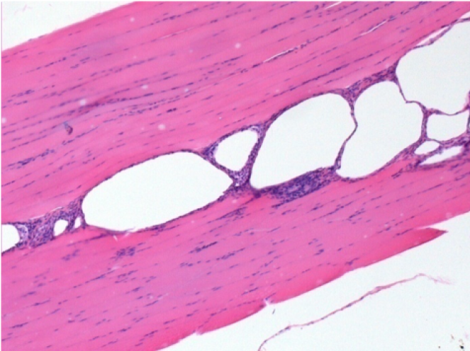
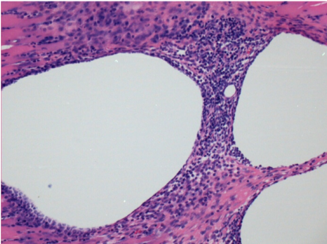
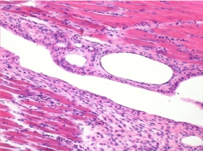
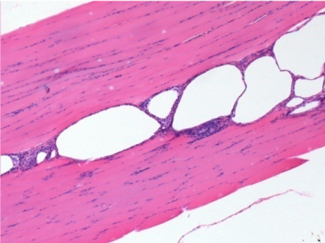
1 month after Endopeel Injection 0.1ml in the right pretibial muscle.
What is seen in black on the pictures is not a necrosis like could imagine some scientifics !
In fact, 4 conclusions have to be taken in consideration



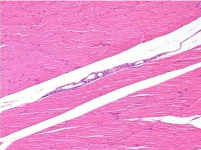
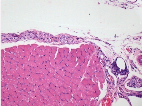
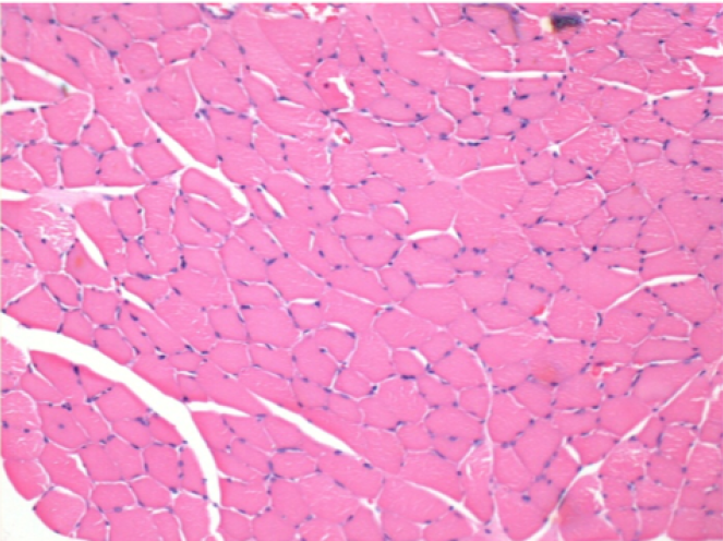
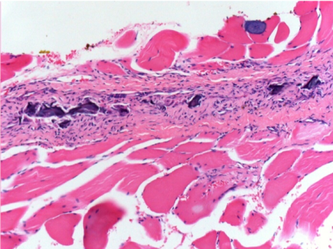
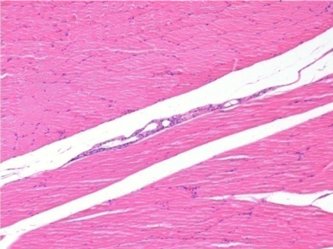
3 months (D90)after Endopeel Injection 0.1ml in the right pretibial muscle.


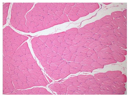
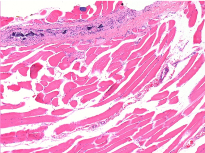
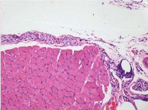
7 months (D210)after Endopeel IM Injection 0.1ml in the right pretibial muscle.
Complete Restitutio ad integrum after 7 months



L :Control 50xD210

R50X-D210
0.5 ml ( 5x 0.1ml) Endopeel SC Injection in the right subcutaneous pretibial area.

L:200x-Control-SC

R-D10-SC-200X

R-D30-SC-200X

R-D90-SC-200X

R-D210-SC-200X

R-D210-SC-400X
